Протягом січня-листопада 2024 року Україна експортувала 16,8 тис. тонн мороженого м’яса ВРХ – на 13,8% менше, ніж за аналогічний...
Для вибору оптимальних режимів оброблення та зберігання інкубаційних яєць важливо розуміти зміни, що відбуваються з ними від знесення до...
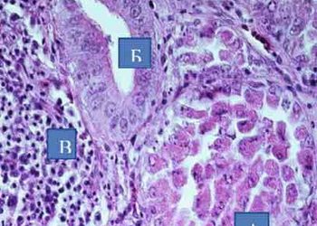
А ‒ некроз, десквамація секреторних клітин альвеод;Б ‒ заміщення втрачених залозистих клітин альвеоли протоковим циліндричним епітелієм; В ‒ лімфоїдна...
Мечтаете о стабильном доходе и финансовой независимости? Попробуйте одно из самых перспективных направлений для заработка, товарный бизнес. Благодаря постоянно...
У Київській області в Гречаногребельське водосховище випустили 33,2 тис. екземплярів товстолоба, 22,6 тис. екземплярів коропа та 3,2 тис. екземплярів білого...
У січні-листопаді 2024 року на експорт пішло 6,7 тис. тонн вітчизняного вершкового масла – на 9,5% менше, ніж за...
Протягом листопада ціна на охолоджену свинину на м’ясних прилавках супермаркетів була в середньому нижчою на 1,1%, ніж місяцем раніше,...
Німецька компанія Senara будує перше промислове виробництво клітинного культивованого молока. Головна мета проєкту ‒ зробити культивоване молоко доступним за ціною,...
Перепели всіх вікових груп досить чутливі до різких коливань температури та протягів, пише журнал «Наше птахівництво». Оптимальний температурний режим...
Огорожі у поєднанні з відстрілом, вилученням трупів диких свиней і використанням дорожньої інфраструктури можуть бути ефективними для контролю африканської...
Всі права захищені. Часткове або повне використання матеріалів інтернет-видання "Версія" дозволяється лише за умови вказування гіпертекстовго посилання на матеріал.

© 2026 "СТУДІЯ ВЕРСІЯ 2.0". Редакція є членом спілки інформаційних порталів України - sip.redactor@gmail.com