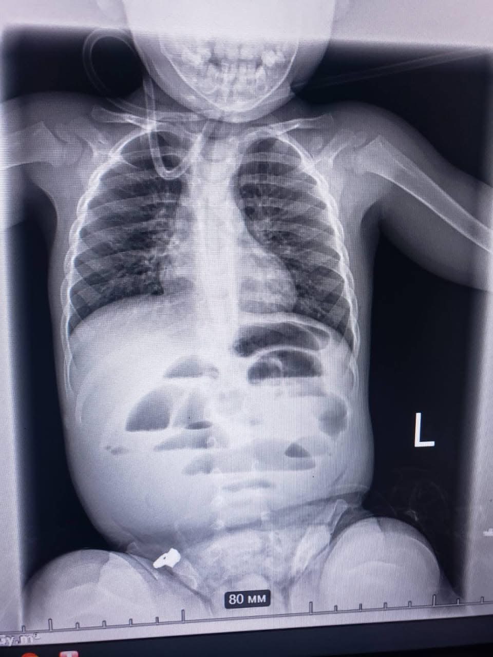
До «Регіонального медичного центру родинного здоров’я» було доставлено дитину віком 1 рік 8 місяців із підозрою на кишкову непрохідність. Під час рентгенологічного обстеження органів черевної порожнини лікарі виявили характерні ознаки непрохідності.

Мультидисциплінарна команда медиків прийняла рішення про термінову операцію. Під час хірургічного втручання у кишківнику було знайдено стороннє тіло, яке повністю перекривало його просвіт. Ним виявилася гідрогелева кулька діаметром близько 3 сантиметрів. Після видалення кульки та накладання швів дитину переведено до відділення інтенсивної терапії.
«Гідрогелеві кульки при контакті з водою стають еластичними та значно збільшуються у розмірах. Останнім часом вони стали популярними як елемент декору, у садівництві та як дитяча іграшка. Попри нетоксичність матеріалу, ці кульки становлять небезпеку для малюків, адже можуть продовжувати розбухати всередині організму», — зазначили у повідомленні медичного закладу.
У центрі закликають батьків бути уважними та не залишати гідрогелеві кульки в зоні доступу дітей, щоб уникнути подібних небезпечних випадків.
Джерело: dnipro.press








Discussion about this post